Cerca

Test Miles 33

Scopri tutti gli eventi

EVENTI

Quando il trattamento endodontico diventa necessario

trattamento-endodontico
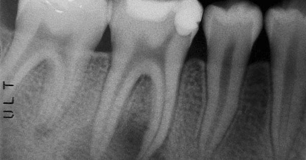
trattamento-endodonticoL’endodonzia è la scienza medica che, nell’ambito del’odontoiatria, si occupa dei tessuti interni del dente, le patologie e i trattamenti correlati. Nel momento in cui questi tessuti e quelli che circondano la radice si ammalato a causa di eventi curiosi,traumi o infezioni parodontali, il trattamento endodontico permette di salvare il dente. Tale trattamento si rende necessario quindi quando la polpa dentale si infiamma o si infetta. La polpa dentale contenuta all’interno dei denti svolge un ruolo fondamentale, trattadosi di un tessuto altamente specializzato coistituito da arterie, vene,terminazione nervose e cellule connettivali. Essa nell’età dello sviluppo ha la funzione di creare la struttura classificata portante del dente mentre nell’adulto, ad accrescimento avvenuto, la polpa dentale assotigliata e confinata all’ interno della camera pulpare e nei canali particolari, svolge una funzione di difesa e di diramazione della dentina. Una scarsa igiene orale con conseguente accumulo di placca batterica comporta la decalcificazione e successiva distruzione dei tessuti duri del dente per l’azione dei microorganismi presenti al’interno della placca batterica stessa; se non si interviene tempestivamente con la rimozione della carie la cavità prodotta si approfondisce fino ad arrivare alla camera pulpare con invasione dei batteri e delle loro tossine a carico della polpa dentale, con trasformazioni irreversibili causate daall’infezione. L’endodonzia quindi mira alla conservazione dei denti che hanno ricevuto un grave danno della loro struttura a causa dell’infezione e della successiva necrosi della polpa con ripercussioni acute o croniche dei tessuti circostanti e con sintomatologie spesso dolorose. Il trattamento in questa fase avanzata non comporta solo la rimozione del tessuto dentale cariato ma l’asportazione della polpa dentale necrotica o infetta, sia all’interno della camera pulpare sia all’interno delle radici. Tale procedimento noto come devitalizzazione si avvale ad oggi di numerosi strumenti che permettono al clinico di eseguire al meglio un trattamento canalare, eliminando completamente la polpa infetta residua sino all’apice del dente. Previa anestesia locale, il campo operatorio viene isolato mediante diga di gomma, ausilio imprescindibile per poter ottenere un ottimo risultato in quanto permette di isolare il dente dal resto della cavità orale senza consentire ulteriori contaminazioni batterica;allo stesso modo ci consente di utilizzare in tutta sicurezza disinfettanti e detergenti fondamentali per eliminare dai canali tutti i residui batterici creando quindi all’interno del dente un ambiente totalmente asettico. Si esegue quindi l’apertura della camera pulpare e il successivo accesso ai canali radicolari, poi mediante l’utilizzo di un rivelatore apicale si stabilisce l’esatta lunghezza della radice da trattare. Successivamente si passa alla strumentazione dei canali mediante utilizzo di strumenti endodontici meccanici allo scopo sia di eliminare completamente residui pulpari infetti sia di creare allo stesso tempo una forma delle pareti adatta ad una completa otturazione definitiva dei canali. Fondamentale in questa fase di preparazione l’utilizzo, in alternanza agli strumenti endodotici, di ipoclorito di sodio per eliminare tutta la componente organica e di rc prepp per quella inorganica. Completata la preparazione dei canali radicolari si segue la chiusura,  per tutta la lunghezza, mediante guttaperca; un materiale termoplastico che in concomitanza del cemento canalare garantisce un perfetto sigillo apicale. Una volta completata la devitalizzazione il dente é pronto per essere ricostruito, ristabilendo  quindi la forma della corona dentale che permette al dente stesso di riprendere completamente la sua funzione. É importante però ricordare che non essendo più un dente vitale, quindi idratato e nutrito dalla polpa, risulta  essere più fragile  e quindi facilmente soggetto a frattura a seguito dei traumi masticatori; é compito del clinico consigliare il paziente di proteggere il dente devitalizzato mediante la sua ricopertura con corona dentale.   Ambulatorio dentistico Zr Dental del dott. Alberto Ziliotto - Sito: www.odontoiatraziliotto.it
Resta aggiornato, iscriviti alla nostra newsletter

Edizione